Newly Discovered Factor in Androgenetic Alopecia. The Cure is Near?

2020

Experienced Member
Reaction score
50
seems i misunderstood , i was talking about pgd2 and the theory that baldness can be allergicly genetic condition

no way. Whenever you propose such theories, just think of the women. How come women are immune to this allergy? It's impossible. Baldness is still about male hormones, PGD2 just seems to be the last stop in this equation
 

sapinho

Member
Reaction score
0
ok... he ya go.. Here is my theory for Male Pattern Baldness... Been looking why PGD2 GO CRAZY... excess Pgd2= overexpression of Cox-2... here is the steps why you go bald and makes you life miserable... DHT promotes the expression or activation of NF-KB..(nuclear factor kappa-light-chain-enhancer of activated B cells) then COX-2 go over expressed to overcome the inflammation.. but everything stay in a chronic state. You go bald. Cell Apoptosis, stopping of progenitor cell migration...........and hair cycle goes to ****...
Exactly. This has also been my theory. DHT->NF-KB over-expression->COX2 over-expression->increased PGD2 (i.e., body's response to chronic inflammation, but not good for hair) I wondered why my hairloss first went nuts when exposed to a high-humidity environment with mold, turns out, mold increases NF-KB expression! Increased NF-KB is also associated with aging. I then tried Azelaic acid, which stopped my shed. Most people base the success of this acid on some people on inhibition of DHT, but as most know here, there is little evidence for this. However, there is evidence for NF-KB inhibition:
Furthermore, in the experimental design under investigation, AzA induced the expression of the anti-inflammatory signalling molecule PPARγ, (inflammatory peroxisome proliferators-activated receptors-γ). PPARγ is known to control cytokine release and reduce inflammation by repressing NFkB activation. http://press.healthcare.bayer.com/en/press/news-details-page.php/14067/2011-0010
Similarly, people try using Curcumin to inhibit DHT, but there's actually more evidence behind it inhibiting NF-KB:
Curcumin is an extraordinary molecule extracted from the spice we know as turmeric. It is among the most potent of the natural inhibitors of NF-kB, and as such has been intensely studied for its anticancer potential. http://www.lef.org/magazine/mag2011/nov201_The-Inflammatory-Factor-Underlying-Most-Cancers_01.htm
Internally, aged garlic supplements as well:
When garlic extracts are allowed to age, they stabilize and retain strong antioxidant powers that indirectly down-regulate NF-kB. Individual components from such garlic extracts include diallyl sulfide, diallyl disulfide, and thiacremonone, all of which demonstrate direct NF-kB-inhibitory activities.
As well as Resveratrol:
Resveratrol has shown array of biological actions, and is under clinical development for various disease conditions. The etiology of diabetic neuropathy revolves around oxidative stress, AGE formation, lipid peroxidation etc. All these stimulate inflammatory processes and NF-kappaB cascade is considered as one of the major players of inflammatory response.
However, I don't think anyone should be overdosing on inhibitors of NF-KB, better to use a topical. Unfortunately, curcumin is not well absorbed and Azelaic acid is probably not one of the strongest inhibitors. There are tons of things that have been shown to reduce NF-KB, I don't even know where to start, but one should probably look at ones that have been shown to reduce joint pain, etc, and thus we know they are absorbed, and ones that are anti-oxidants to boot. Any ideas? Gallic acid comes to mind: http://www.ncbi.nlm.nih.gov/pubmed/16322071?dopt=Abstract But there are many more, very good table here: http://www.bu.edu/nf-kb/table-3/
 

Dennis Bergkamp

New Member
Reaction score
0
where does it say it's only in galea region and not just in NW6 pattern area?

-- the Norwood scale was created to measure the scale of hairloss. the NW6 pattern describes the exact shape of the galea. the galea isnt created to the same scale of the NW6 pattern. if you can understand that, great. otherwise i'm clearly talking to a moron.


botox is anti-inflammatory.... almost any anti-inflammatory(given that it's strong enough) would have positive effects on hair growth

--you haven't understood the difference between the different prostaglandins. go back and look over my previous post and do some further reading. Indomethacin would reduce both the telogen inducing as well as the anagen inducing prostaglandins.

yes I know... how come men get galea problems and not women?
-someone already answered that for me. they do! however the protective nature of oestrogen counteracts the negatives of DHT.

it's ALL BEEN DEBUNKED ALREADY!!! Too tired of arguing with you people again, just read this thread:
http://www.baldtruthtaIk.com/showthread.php?t=8514

--you prove to me the fact this theory has been ruled out, not with medical journals but with a similar thread where you clearly display your single minded stupidity. Bravo.


The galea theory has something to it, but its clearly not developed. male pattern baldness is a chain of events. look at it on a macro level, male pattern baldness heads are the same shape as the galea over and over and over again. where the link is and how it occurs is the mystery.
In fact, it could even be the exact reverse where the muscles in the Non-galea areas provide for angiogenesis and therefore normoxia. in other words, the galea isnt the villain, the muscles are the saviour.


Anyway, we deviate. PGD2 reduction should be done through upregulation of AKR1c3.
 

squeegee

Banned
Reaction score
132
Dennis & Sapinho.. Welcome to the thread and the site.. Appreciate you guys input!!!:fun: 2020 is like a chihuahua, He is sometimes annoying but he doesn't bite..
 

odalbak

Established Member
Reaction score
11
where does it say it's only in galea region and not just in NW6 pattern area?

It's still speculative but the hypoxia/galea connection is pretty possible to me.

"The enzymatic conversion of testosterone to dihydrotestosterone is oxygen dependent. In low-oxygen environments, the conversion of testosterone to dihydrotestosterone is favored; whereas in high-oxygen environments, more testosterone is converted to estradiol. We have identified a previously unreported tissue hypoxia (condition in which a region is deprived of adequate oxygen supply) in bald scalp compared with hair-bearing scalp. (…) There is a relative microvascular insufficiency to regions of the scalp that lose hair in male pattern baldness. Because the blood supply to the scalp enters through the periphery, a reduction in blood flow would be most apparent at the distal ends of the vessels, specifically, the vertex and frontal peaks."

http://journals.lww.com/plasreconsu...aneous_Po2of_the_Scalp_in_Male_Pattern.3.aspx


botox is anti-inflammatory.... almost any anti-inflammatory(given that it's strong enough) would have positive effects on hair growth

Botoxin was NOT administered on the galea region.


how come men get galea problems and not women?

http://www.hairlossregrowth.org/wp-...ion-system-for-genetic-hair-loss-in-women.jpg
Looks like they do to me… The slight difference may be due to difference in bone shape. Men tend to have more prominent forehead than women because of testosterone influenced skull development.


I've never been totally convinced by the galea theory, but to describe it as debunked is just not true. The one information that to me tends to put the galea hypothesis to the bin is the fact that "balding hair follicle dermal papilla cells contain higher levels of androgen receptors than those from non-balding scalp", and also that "both women and men (with AA) have higher levels of receptors and 5alpha-reductase type I and II in frontal hair follices than in occipital follicles, whereas higher levels of aromatase were found in their occipital follicles" but this difference could be the result of ****iing adaptative process of dht influenced follicles over the years. Who knows…

http://www.ncbi.nlm.nih.gov/pubmed/9496234

http://www.ncbi.nlm.nih.gov/pubmed/9284093
 

squeegee

Banned
Reaction score
132
This study shows that DHT treatment increased NF-kB activity by 45% when compared to vehicle treatment and co-treatment with parthenolide inhibited DHT-induced NF-kB activation (Figure 4B).

http://pubmedcentralcanada.ca/pmcc/articles/PMC3074296/

Life Extension Science DHT promotes atherosclerosis in men via NFKB but not so much in women
Dihydrotestosterone Promotes VCAM-1 Expression in Male Human Endothelial
Cells via a NF-{kappa}B Dependent Pathway.
http://www.varioustopics.com/life-extension/758175-dht-promotes-atherosclerosis-in-men-via-nfkb-but-not-so-much-in-women.html

NF-κB (nuclear factor kappa-light-chain-enhancer of activated B cells) is a protein complex that controls the
transcription of DNA.


NF-kappa B is the "master switch" of inflammation
and is gene related..


Mechanism of hypoxia-induced NF-kappaB.

Culver C, Sundqvist A, Mudie S, Melvin A, Xirodimas D, Rocha S.
Source

College of Life Sciences, Wellcome Trust Centre for Gene Regulation and Expression, MSI/WTB/JBC Complex, University of Dundee, Dundee, Scotland.

Abstract

NF-κB activation is a critical component in the transcriptional response to hypoxia. However, the underlying mechanisms that control its activity under these conditions are unknown. Here we report that under hypoxic conditions, IκB kinase (IKK) activity is induced through a calcium/calmodulin-dependent kinase 2 (CaMK2)-dependent pathway distinct from that for other common inducers of NF-κB. This process still requires IKK and the IKK kinase TAK1, like that for inflammatory inducers of NF-κB, but the TAK1-associated proteins TAB1 and TAB2 are not essential. IKK complex activation following hypoxia requires Ubc13 but not the recently identified LUBAC (linear ubiquitin chain assembly complex) ubiquitin conjugation system. In contrast to the action of other NF-κB inducers, IKK-mediated phosphorylation of IκBα does not result in its degradation. We show that this results from IκBα sumoylation by Sumo-2/3 on critical lysine residues, normally required for K-48-linked polyubiquitination. Furthermore, inhibition of specific Sumo proteases is sufficient to release RelA from IκBα and activate NF-κB target genes. These results define a novel pathway regulating NF-κB activation, important to its physiological role in human health and disease.

The role of NF-kappaB in hypoxia-induced gene expression.

Taylor CT, Cummins EP.
Source

UCD Conway Institute, School of Medicine and Medical Science, College of Life Science, University College Dublin, Belfield, Dublin, Ireland. cormac.taylor@ucd.ie

Abstract

Hypoxia is a common physiologic and pathophysiologic stimulus that activates the expression of genes through oxygen-sensitive transcription factors including the hypoxia-inducible factor (HIF) and nuclear factor-kappaB (NF-kappaB). Hypoxia-dependent gene expression can have important physiologic or pathophysiologic consequences for an organism, depending upon the cause of the hypoxic insult. Consequently, this pathway represents an attractive therapeutic target in a number of disease states. While the mechanism linking hypoxia to the activation of HIF has been extensively studied, our understanding of how hypoxia activates NF-kappaB is limited. Recent studies have demonstrated that similar oxygen-sensing mechanisms are employed in conferring oxygen sensitivity to both HIF and NF-kappaB-dependent gene expression. Furthermore, there is an extensive degree of cross-talk occurring between NF-kappaB and HIF. Investigations into mechanisms of hypoxic activation of HIF and NF-kappaB and how these signaling pathways interact will uncover new therapeutic modalities in a diverse range of disease states where hypoxia is a feature of the microenvironment including cancer, vascular disease, and chronic inflammation.



Nuclear Factor Kappa B

NFkB is the "big cheese" cell-signaling molecule for inflammation; its activationinduces the expression of COX-2, which leads to tissue inflammation. "Intriguingly,the expression of the COX-2-encoding gene, believed to be responsible for themassive production of prostaglandins at inflammatory sites, is transcriptionallyregulated by NFkB."[SUP]2
[/SUP]
NFkB resides in the cytoplasm of the cell and is bound to its inhibitor. Injurious and inflammatory stimuli, such as free radicals, release NFkB from the inhibitor. NFkB moves into the nucleus and activates the genes responsible for expressing COX-2



 

2020

Experienced Member
Reaction score
50
all right here it goes...

Abstract. The author transplanted composite skin grafts from balding, non-balding, and bald areas of the scalp, to the skin of the arm. The galea aponeurotica was trimmed away from the grafts. The patient was a 29-year-old male with progressive male pattern baldness (male pattern baldness).

The transplants from the balding area became bald at the same rate as the balding donor site in the receding frontal hairline, whereas the transplants taken from the non-balding in the occiput continued to grow the same amount and quality of terminal hairs. Bald grafts taken in front of the receding hairline remained bald. This shows that the cause of male pattern baldness lies in the follicle itself or in its very close surrounding and does not depend on the galea aponeurotica, the increased tension of the scalp or of its muscles
 

Dennis Bergkamp

New Member
Reaction score
0
You cannot stop apoptosis once the chain has begun, much like you cannot save a man with radiation poisoning despite taking him out of the environment which caused it.

odalbak, your on my level mate. I
don't know the exact answer but it is ignorant to ignore the shape of the male pattern baldness head and the galea.
Thanks for finding that study on increased DHT and Low aromatase activity in a hypoxic environment, i had been searching for it.

Squeegees abstract just highlights this further:
Recent studies have demonstrated that similar oxygen-sensing mechanisms are employed in conferring oxygen sensitivity to both HIF and NF-kappaB-dependent gene expression

Our interest in the role of AKR1C3 in acute myeloid leukemia (AML) arose from studies of the in vitro antileukemic activity of the nonsteroidal inflammatory drug (NSAID) indomethacin, which we discovered to include inhibition of AKR1C3.

Right, i wont be trying Indomethacin.

http://www.ncbi.nlm.nih.gov/pmc/articles/PMC3042854/Evidence exists that reduced oxygen tension affects cellular metabolism and the microenvironment, including pH level.Finally, since a variety of NSAIDs inhibit AKR1C3..

http://www.plosone.org/article/info:doi/10.1371/journal.pone.0023108
there is evidence for a gradient of decreasing oxygen levels from the vascular to the osteoblastic niche and for the notion that the most primitive HSC (human stem cells) are sequestered in a hypoxic microenvironment, implying that low oxygen levels play a fundamental role in the maintenance of normal stem cell function
I just don't know where i stand with my bald *** head. however it goes on to say cancer growth expressed higher levels of the enzyme.



  • [*=center]BP000861-ENZ-406
    [*=center]Recombinant Human AKR1C3
    [*=center]1 mg
    [*=center]$3600.00

Holy crap! anybody have any money i could borrow?

- - - Updated - - -

Good bedtime read:

http://jcem.endojournals.org/content/94/6/2192.full.pdf


Quinkler et al. (34) reported that human adipose tissue plays
an important role in production of active androgen through the
activity of AKR1C3.
 

baldnesssadness

Established Member
Reaction score
4
no way. Whenever you propose such theories, just think of the women. How come women are immune to this allergy? It's impossible. Baldness is still about male hormones, PGD2 just seems to be the last stop in this equation

i guess the estrogen protects them from developing the pgd2, and the second reason if hair loss wasnt a alergic condition then how come pgd2 causes ashtma?, and when your balding you also expirience. irritation which . dht still causes the cox 2 which causes the pgd2 , so i mean its still caused by male hormones but it is a alergic condition.
 

Dennis Bergkamp

New Member
Reaction score
0
I read an abstract about the link between nf-kb and norepinephrine which may explain the reduction adipose tissue under the scalp.


anyone help to find this?
 

rbr

New Member
Reaction score
0
This paper suggests that inhibiting cox may not be that effective as there are cox independant pathways for CRTH2 receptor stimulation. I think (need a scientisits to translate this study) what it states is that once the CRTH2 receptor has been stimulated by an agonist (e.g PGD2) that even the suppression of Cox (in this case Diclofenac) didnt stop continued stimulation. This was proved following the addition of Ramatroban which showed a decrease in CRTH2 receptor stimulation.

http://onlinelibrary.wiley.com/doi/...ionid=CE3AFCACF47185BEEF09292979BE9D45.d04t04
if your interested read the discussion page as the summary is misleading if not taken into context.

Some other take away messages. This paper comes from the Department of Drug Discovery from Oxagen, the company trialing OC000459 as a CRTH2 blocker. It also shows that Ramatroban is effective for about 8 hours (in the test environment) so one would hope that longevity of OC000459 as a blocker was considered in its design to be at least as effective as Ramatroban from a time standpoint.
 

squeegee

Banned
Reaction score
132
Sorry bros!! Just empty the litter box! Resubmit!:beer:
 

Saint-Loup

Member
Reaction score
1
Sorry bros!! Just empty the litter box! Resubmit!:beer:
still the same :dunno:

[h=3]The following errors occurred with your submission[/h]
  • squeegee has exceeded their stored private messages quota and cannot accept further messages until they clear some space.
 

squeegee

Banned
Reaction score
132
LOL..ok Loup.. I empty the sent box as well.. It should work!
 

odalbak

Established Member
Reaction score
11
However, I don't think anyone should be overdosing on inhibitors of NF-KB, better to use a topical. Unfortunately, curcumin is not well absorbed and Azelaic acid is probably not one of the strongest inhibitors. There are tons of things that have been shown to reduce NF-KB, I don't even know where to start, but one should probably look at ones that have been shown to reduce joint pain, etc, and thus we know they are absorbed, and ones that are anti-oxidants to boot. Any ideas?

Any opinion on Astaxanthin?
http://en.wikipedia.org/wiki/Astaxanthin

It's meant to be a powerful suppressor of nf-kb action.
http://www.ncbi.nlm.nih.gov/pubmed/14503852

Alternative health gurus like Mercola rave about it, it's meant to be the most powerful antioxydants in the world…
http://products.mercola.com/astaxanthin/
 

squeegee

Banned
Reaction score
132
Every powerful antioxidant will suppresses the action of NF-KB. This is well known. Google Glutathione peroxidase and NF-kb.
 

chicknlittle

Member
Reaction score
4
I just discovered this topic and bought cetrizine/quecertin/ fish oil thinking to decrease pgd2... But the more I read the less sure I am that those will help. Cetrizine is an antihistamine that decreases mast cell release of its products, including pgd2. That's good, however the problem in male pattern baldness is (more likely?) fibroblast and other supporting structure PTGDS catalyzed local production and release of pgd2... Is this true, and if so is there any reason to think cetrizine would have any effect on this non-mast cell process? Or any reason to think that fish oil or quecertin would decrease this locally produced pgd2?
 

squeegee

Banned
Reaction score
132
Good read on Prostaglandins functions and role in inflammation.
http://atvb.ahajournals.org/content/31/5/986.full

Prostaglandins are lipid autacoids derived from arachidonic acid. They both sustain homeostatic functions and mediate pathogenic mechanisms, including the inflammatory response. They are generated from arachidonate by the action of cyclooxygenase isoenzymes, and their biosynthesis is blocked by nonsteroidal antiinflammatory drugs, including those selective for inhibition of cyclooxygenase-2. Despite the clinical efficacy of nonsteroidal antiinflammatory drugs, prostaglandins may function in both the promotion and resolution of inflammation. This review summarizes insights into the mechanisms of prostaglandin generation and the roles of individual mediators and their receptors in modulating the inflammatory response. Prostaglandin biology has potential clinical relevance for atherosclerosis, the response to vascular injury and aortic


- - - Updated - - -

[h=1]Dihydrotestosterone promotes vascular cell adhesion molecule-1 expression in male human endothelial cells via a nuclear factor-kappaB-dependent pathway.[/h]Death AK, McGrath KC, Sader MA, Nakhla S, Jessup W, Handelsman DJ, Celermajer DS.
[h=3]Source[/h]Discipline of Medicine, University of Sydney, New South Wales, Australia. alison@med.usyd.edu.au

[h=3]Abstract[/h]There exists a striking gender difference in atherosclerotic vascular disease. For decades, estrogen was considered atheroprotective; however, an alternative is that androgen exposure in early life may predispose men to earlier atherosclerosis. We recently demonstrated that the potent androgen, dihydrotestosterone (DHT), enhanced the binding of monocytes to the endothelium, a key early event in atherosclerosis, via increased expression of vascular cell adhesion molecule-1 (VCAM-1). We now show that DHT mediates its effects on VCAM-1 expression at the promoter level through a novel androgen receptor (AR)/nuclear factor-kappaB (NF-kappaB) mechanism. Human umbilical vein endothelial cells were exposed to 4-400 nm DHT. DHT increased VCAM-1 mRNA in a dose- and time-dependent manner. The DHT effect could be blocked by the AR antagonist, hydroxyflutamide. DHT increased VCAM-1 promoter activity via NF-kappaB activation without affecting VCAM-1 mRNA stability. Using 5' deletion analysis, it was determined that the NF-kappaB sites within the VCAM-1 promoter region were responsible for the DHT-mediated increase in VCAM-1 expression; however, coimmunoprecipitation studies suggested there is no direct interaction between AR and NF-kappaB. Instead, DHT treatment decreased the level of the NF-kappaB inhibitory protein. DHT did not affect VCAM-1 protein expression and monocyte adhesion when female endothelial cells were tested. AR expression was higher in male, relative to female, endothelial cells, associated with increased VCAM-1 levels. These findings highlight a novel AR/NF-kappaB mediated mechanism for VCAM-1 expression and monocyte adhesion operating in male endothelial cells that may represent an important unrecognized mechanism for the male predisposition to atherosclerosis.
 

squeegee

Banned
Reaction score
132
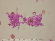
Adhesion and aggregation


Platelets clumping from a blood smear. May Grunwald-Giemsa. Light Microscopy, oil immersion 100x.


Platelets aggregate, or clump together, using fibrinogen and von Willebrand factor (vWF) as a connecting agent. The most abundant platelet aggregation receptor is glycoprotein IIb/IIIa (gpIIb/IIIa); this is a calcium-dependent receptor for fibrinogen, fibronectin, vitronectin, thrombospondin, and vWF. Other receptors include GPIb-V-IX complex (vWF) and GPVI (collagen).
Activated platelets will adhere, via glycoprotein (GP) Ia, to the collagen that is exposed by endothelial damage. Aggregation and adhesion act together to form the platelet plug. Myosin and actin filaments in platelets are stimulated to contract during aggregation, further reinforcing the plug.
Platelet aggregation is stimulated by ADP, thromboxane, and α2 receptor-activation, but inhibited by other inflammatory products like PGI2 and PGD2. Platelet aggregation is enhanced by exogenous administration of anabolic steroids.
 

zephyrprime

Member
Reaction score
7
This paper suggests that inhibiting cox may not be that effective as there are cox independant pathways for CRTH2 receptor stimulation. I think (need a scientisits to translate this study) what it states is that once the CRTH2 receptor has been stimulated by an agonist (e.g PGD2) that even the suppression of Cox (in this case Diclofenac) didnt stop continued stimulation. This was proved following the addition of Ramatroban which showed a decrease in CRTH2 receptor stimulation.

http://onlinelibrary.wiley.com/doi/...ionid=CE3AFCACF47185BEEF09292979BE9D45.d04t04
if your interested read the discussion page as the summary is misleading if not taken into context.

Some other take away messages. This paper comes from the Department of Drug Discovery from Oxagen, the company trialing OC000459 as a CRTH2 blocker. It also shows that Ramatroban is effective for about 8 hours (in the test environment) so one would hope that longevity of OC000459 as a blocker was considered in its design to be at least as effective as Ramatroban from a time standpoint.
There are people with chronic pain who are on cox inhibitors all the time. If cox had anything to do with hair loss, it would have been immediately found out since cox affecting drugs like ibuprofen are SOOOO common. I have zero hope for this avenue of investigation.

- - - Updated - - -

I just discovered this topic and bought cetrizine/quecertin/ fish oil thinking to decrease pgd2... But the more I read the less sure I am that those will help. Cetrizine is an antihistamine that decreases mast cell release of its products, including pgd2. That's good, however the problem in male pattern baldness is (more likely?) fibroblast and other supporting structure PTGDS catalyzed local production and release of pgd2... Is this true, and if so is there any reason to think cetrizine would have any effect on this non-mast cell process? Or any reason to think that fish oil or quecertin would decrease this locally produced pgd2?
There are millions of people who take cetrizine and no one has ever reported any effects. If it had any effect on hair, I'm sure it would have been discovered at the trial phase.
 
Top