DHT and Testosterone kills hair DIRECTLY........study

Bryan

Senior Member
Staff member
Reaction score
43
Thinning said:
hairah said:
A general question that's related to this thread: Would a testosterone-raising herbal compound such as Biotest's Tribex possibly lead to more scalp hair loss in those with male pattern baldness?

I doubt it - likely those only raise your test levels by 15-20%, 30% is max, and your hair is MUCH more sensitve to DHT than to T.

Well, you seem to be overlooking one other point, which is that DHT levels are obviously determined to a considerable extent by the level of available testosterone.

Bryan
 

Bryan

Senior Member
Staff member
Reaction score
43
S Foote. said:
He won't laugh Bryan because he has been raised to recognise the difference between fantasy and reality. :wink:

Can I assume from that, then, that the lad was given up for adoption after he was born, and he was raised by someone other than yourself?? :)

S Foote. said:
Let's see, in Bryan Sheltons "expert" opinion my theory is ridiculous. In the "REAL" hair loss expert Dr Marty Sawaya's opinion, my theory is quote:

"It is a very complex process, but your thoughts are very organized and on the right path, similar to what others have been proposing"

ROTFLMAO!! Be honest with me, Stephen: did you frame that comment of hers and hang it over your bed, and do you stare at it for a moment and shed a tear over it every night at bedtime, and say to yourself "Someday, they'll believe my theory", before eventually falling into a fitful and restless sleep? :wink:

Bryan
 

S Foote.

Experienced Member
Reaction score
67
Bryan said:
S Foote. said:
He won't laugh Bryan because he has been raised to recognise the difference between fantasy and reality. :wink:

Can I assume from that, then, that the lad was given up for adoption after he was born, and he was raised by someone other than yourself?? :)

[quote="S Foote.":b6d3b]Let's see, in Bryan Sheltons "expert" opinion my theory is ridiculous. In the "REAL" hair loss expert Dr Marty Sawaya's opinion, my theory is quote:

"It is a very complex process, but your thoughts are very organized and on the right path, similar to what others have been proposing"

ROTFLMAO!! Be honest with me, Stephen: did you frame that comment of hers and hang it over your bed, and do you stare at it for a moment and shed a tear over it every night at bedtime, and say to yourself "Someday, they'll believe my theory", before eventually falling into a fitful and restless sleep? :wink:

Bryan[/quote:b6d3b]

Well your the one who keeps trying to claim my theory is "ridiculous".

I posted Dr Sawaya's comments Bryan, simply because the lay people who read these threads should be aware of a "REAL" scientists opinion on my theory!

I know this really upsets you as it puts you squarely in your place, but thats your problem Bryan 8)

S Foote.
 

wookster

Experienced Member
Reaction score
0
Chronic inflammation in association with androgens appears to be the culprit in the male pattern baldness scenario... :freaked: :freaked: :freaked:

http://www.hairloss-research.org/february1.html

First we must recognize that hair loss is the consequence of hair cell apoptosis, or programmed cell death. Apoptosis is the final result of what is termed the caspase activation cascade. Essentially DHT, superoxide, and other free radicals damage the cell’s mitochondria, and the damaged mitochondria in turn vomits cytochrome C, which activates the caspase 9 cascade. TGF-beta and alpha activate caspase 9 around hair follicles. The activated caspase 9 propagates downstream into caspase 3. Activation of caspase 3 is thought to be a direct cause of cell apoptosis (programmed cell death) in general. What then causes a caspase activation cascade and how can one intervene in the context of hair loss?
 

CCS

Senior Member
Reaction score
27
docj077 found a few possible solutions to that, posted in the herbal section.
 

S Foote.

Experienced Member
Reaction score
67
wookiewannabe said:
Chronic inflammation in association with androgens appears to be the culprit in the male pattern baldness scenario... :freaked: :freaked: :freaked:

http://www.hairloss-research.org/february1.html

First we must recognize that hair loss is the consequence of hair cell apoptosis, or programmed cell death. Apoptosis is the final result of what is termed the caspase activation cascade. Essentially DHT, superoxide, and other free radicals damage the cell’s mitochondria, and the damaged mitochondria in turn vomits cytochrome C, which activates the caspase 9 cascade. TGF-beta and alpha activate caspase 9 around hair follicles. The activated caspase 9 propagates downstream into caspase 3. Activation of caspase 3 is thought to be a direct cause of cell apoptosis (programmed cell death) in general. What then causes a caspase activation cascade and how can one intervene in the context of hair loss?

Personaly, i don't go along with inflammation as a "causal" factor in male pattern baldness. Certainly it is an associated factor in human male pattern baldness that has an influence down the line, and needs to be treated.

But from the mechanistic viewpoint, we know androgens can miniaturise follicles in the male pattern baldness area without any inflammatory component. The macaque studies prove that.

http://www.hairsite4.com/dc/dcboard.php ... ting_type=

Also according to the rules of scientific theories, if someone argues DHT causes male pattern baldness via immunology, they also have to explain how DHT grows body hair via immunology?

Then you get into the problem of why should immune components have opposite actions on follicles?

The thing we should always remember when thinking about cell death or apoptosis, is that hair follicle cells are unique in this respect.

Even under the best conditions of maximum follicle enlargement, follicle life span is limited. Pre-programed apoptosis is "normal" in follicle cells, it is part of the normal hair cycle.

No other organs in the body "die" and then regenerate on a regular basis!

I am also not convinced that apoptosis as such is rellevant in male pattern baldness?

The follicle cells in miniaturised follicles are not "dead", they are just not multiplying anymore to make larger follicles. These miniaturised follicles still "work" to produce hair, but it is miniaturised (vellous) hair that matches the follicle size.

S Foote.
 

HARM1

Established Member
Reaction score
1
wookiewannabe said:
Chronic inflammation in association with androgens appears to be the culprit in the male pattern baldness scenario... :freaked: :freaked: :freaked:

http://www.hairloss-research.org/february1.html

First we must recognize that hair loss is the consequence of hair cell apoptosis, or programmed cell death. Apoptosis is the final result of what is termed the caspase activation cascade. Essentially DHT, superoxide, and other free radicals damage the cell’s mitochondria, and the damaged mitochondria in turn vomits cytochrome C, which activates the caspase 9 cascade. TGF-beta and alpha activate caspase 9 around hair follicles. The activated caspase 9 propagates downstream into caspase 3. Activation of caspase 3 is thought to be a direct cause of cell apoptosis (programmed cell death) in general. What then causes a caspase activation cascade and how can one intervene in the context of hair loss?
Didn't this passje just claim to know exactly how male pattern baldness happens?
 

docj077

Senior Member
Reaction score
1
S Foote. said:
wookiewannabe said:
Chronic inflammation in association with androgens appears to be the culprit in the male pattern baldness scenario... :freaked: :freaked: :freaked:

http://www.hairloss-research.org/february1.html

First we must recognize that hair loss is the consequence of hair cell apoptosis, or programmed cell death. Apoptosis is the final result of what is termed the caspase activation cascade. Essentially DHT, superoxide, and other free radicals damage the cell’s mitochondria, and the damaged mitochondria in turn vomits cytochrome C, which activates the caspase 9 cascade. TGF-beta and alpha activate caspase 9 around hair follicles. The activated caspase 9 propagates downstream into caspase 3. Activation of caspase 3 is thought to be a direct cause of cell apoptosis (programmed cell death) in general. What then causes a caspase activation cascade and how can one intervene in the context of hair loss?

Personaly, i don't go along with inflammation as a "causal" factor in male pattern baldness. Certainly it is an associated factor in human male pattern baldness that has an influence down the line, and needs to be treated.

But from the mechanistic viewpoint, we know androgens can miniaturise follicles in the male pattern baldness area without any inflammatory component. The macaque studies prove that.

http://www.hairsite4.com/dc/dcboard.php ... ting_type=

Also according to the rules of scientific theories, if someone argues DHT causes male pattern baldness via immunology, they also have to explain how DHT grows body hair via immunology?

Then you get into the problem of why should immune components have opposite actions on follicles?

The thing we should always remember when thinking about cell death or apoptosis, is that hair follicle cells are unique in this respect.

Even under the best conditions of maximum follicle enlargement, follicle life span is limited. Pre-programed apoptosis is "normal" in follicle cells, it is part of the normal hair cycle.

No other organs in the body "die" and then regenerate on a regular basis!

I am also not convinced that apoptosis as such is rellevant in male pattern baldness?

The follicle cells in miniaturised follicles are not "dead", they are just not multiplying anymore to make larger follicles. These miniaturised follicles still "work" to produce hair, but it is miniaturised (vellous) hair that matches the follicle size.

S Foote.

I know people aren't fond of long quotes around here, so I'll make this quick.

DHT has been found to cause the transcription of TGF-beta in cells surrounding hair follicles, which is responsible for the activation of the caspase cascade that leads to apoptosis. Some cells may die while the rest end up surrounded by fibrosis.

In the face, DHT causes the transcription of Insulin-like growth factor. This causes hair to grow unlike TGF-beta.

That's the difference and the science.

However, you make a good point about apoptosis and hair follicle miniturization. I have to check, but I don't think that it's actually the hair follicle cells that are necessarily affected. It's the blood vessels and surrounding tissue that take the most damage as they can no longer proliferate cutting off nutrients to the hair follice cells.
 

docj077

Senior Member
Reaction score
1
collegechemistrystudent said:
docj077 found a few possible solutions to that, posted in the herbal section.

Just a little update for you on my curcumin (turmeric) experiment. All is going well. Since I've started, I have felt great every day. My tonsils, which are constantly inflammed, have finally gone down, my libido is back (probably due to cutting back the propecia), and I'm starting to get a lot of vellus hair growth on my temples (something that propecia couldn't do). I'm going to wait a while longer and see how it goes.

I just read somewhere that curcumin can increase serotonin, which will explain why I'm constantly in a good mood now it's pretty much an anti-depressant.

I still think that this stuff would make an awesome topical, but I'm going to wait and see if making it an internal is good enough for a while.
 

S Foote.

Experienced Member
Reaction score
67
docj077 said:
S Foote. said:
wookiewannabe said:
Chronic inflammation in association with androgens appears to be the culprit in the male pattern baldness scenario... :freaked: :freaked: :freaked:

http://www.hairloss-research.org/february1.html

First we must recognize that hair loss is the consequence of hair cell apoptosis, or programmed cell death. Apoptosis is the final result of what is termed the caspase activation cascade. Essentially DHT, superoxide, and other free radicals damage the cell’s mitochondria, and the damaged mitochondria in turn vomits cytochrome C, which activates the caspase 9 cascade. TGF-beta and alpha activate caspase 9 around hair follicles. The activated caspase 9 propagates downstream into caspase 3. Activation of caspase 3 is thought to be a direct cause of cell apoptosis (programmed cell death) in general. What then causes a caspase activation cascade and how can one intervene in the context of hair loss?

Personaly, i don't go along with inflammation as a "causal" factor in male pattern baldness. Certainly it is an associated factor in human male pattern baldness that has an influence down the line, and needs to be treated.

But from the mechanistic viewpoint, we know androgens can miniaturise follicles in the male pattern baldness area without any inflammatory component. The macaque studies prove that.

http://www.hairsite4.com/dc/dcboard.php ... ting_type=

Also according to the rules of scientific theories, if someone argues DHT causes male pattern baldness via immunology, they also have to explain how DHT grows body hair via immunology?

Then you get into the problem of why should immune components have opposite actions on follicles?

The thing we should always remember when thinking about cell death or apoptosis, is that hair follicle cells are unique in this respect.

Even under the best conditions of maximum follicle enlargement, follicle life span is limited. Pre-programed apoptosis is "normal" in follicle cells, it is part of the normal hair cycle.

No other organs in the body "die" and then regenerate on a regular basis!

I am also not convinced that apoptosis as such is rellevant in male pattern baldness?

The follicle cells in miniaturised follicles are not "dead", they are just not multiplying anymore to make larger follicles. These miniaturised follicles still "work" to produce hair, but it is miniaturised (vellous) hair that matches the follicle size.

S Foote.

I know people aren't fond of long quotes around here, so I'll make this quick.

DHT has been found to cause the transcription of TGF-beta in cells surrounding hair follicles, which is responsible for the activation of the caspase cascade that leads to apoptosis. Some cells may die while the rest end up surrounded by fibrosis.

In the face, DHT causes the transcription of Insulin-like growth factor. This causes hair to grow unlike TGF-beta.

That's the difference and the science.

However, you make a good point about apoptosis and hair follicle miniturization. I have to check, but I don't think that it's actually the hair follicle cells that are necessarily affected. It's the blood vessels and surrounding tissue that take the most damage as they can no longer proliferate cutting off nutrients to the hair follice cells.

Sorry, but you are just making the same old basic "assumptions", that don't pan out in the real world.

You are taking in-vitro experiments as some kind of scientific "gospil" without considering these in the light of in-vivo contradictions.

If you are going to try to quote what is "science" to me, you are going to have to do a lot better than that :roll:

I suggest you read the established principles of the scientific method before you make all these assumptions of multiple mechanisms depending on what you want to believe. :wink:

http://phyun5.ucr.edu/~wudka/Physics7/N ... node5.html

For example, have you got any "hard" in-vivo evidence to support your statement below?

"In the face, DHT causes the transcription of Insulin-like growth factor. This causes hair to grow unlike TGF-beta. "

With all due respect, we can all do without any more Bryan Shelton "clones", who just cherry pick data without any concept of its value in true science.

S Foote.
 

docj077

Senior Member
Reaction score
1
That information is straight out of my medical physiology textbook and was repeated by my medical school endrocrinology professor. In vivo studies are impossible in human beings as you can't simply take out someone hair follicle and keep it alive long enough to see a scientific result.

In vitro results are the only alternative until in vivo long term studies can be performed. The same works for drugs during each and every phase of their testing. You're looking for effects and progress, not genetic mechanisms. That's what the lab work is for.

TGF-beta is known to induce apoptosis, because scientists know that it activates both the SMAD and the DAXX pathways, which have been proven to cause the apoptotic response.

We know its function, because in some cell lines it induces proliferation and thus causes cancer, like in prostate cancer. The hair follicle is not such a place.

Other diseases TGF-beta is known to be a part of many diseases including congestive heart failure, cancer, COPD, liver cirrhosis, and kidney disease. There's your in vivo evidence. If you want histological evidence, I'm sure I could dig some up. Humanity loves to sacrifice the kidneys of rats for such things.

As for the scientifc method, I've had enough of that. I did research on Enterococcus faecalis toxin-antitoxin postsegregational kill mechansims for the better duration of my masters.
 

docj077

Senior Member
Reaction score
1
This is as close to in vivo as I can give you.

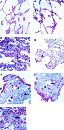
lungfibrosis.gif


Fig. 2. Histological changes 14 days after culture of lung explants. Masson's trichrome staining was used to identify the presence of collagen. A: lung explant cultured in media alone. B: lung explant cultured in pMX. C: lung explant cultured with keratinocyte growth factor (KGF) demonstrates AEC hyperplasia (arrows). D: lung explant cultured with pMX-L-s223,225-transforming growth factor (TGF)-1/KGF demonstrates AEC hyperplasia (small arrow) and extensive subepithelial fibrosis (large arrow) and enlarged air space. E and F are higher magnifi-cations of areas in D, where small arrows identify hyperplastic AECs, large arrows point to connective tissue, and arrowheads identify enlarged air spaces. G: fibroblast bud where small arrow identifies hyperplastic AECs and large arrow points to connective tissue. The histology presented is representative of results obtained from 8 different experiments. A-C are at x400 magnification, D is at x100 magnification, and E-G are at x400 magnification.



This is lung, but from what I've seen the same thing happens in hair follicles.
 

michael barry

Senior Member
Reaction score
14
Thanks for those photos Doctor.

Youve posted some great info.


Ive always said that I'd be satisfied if we could just "stick our finger" in one of the steps of the male pattern baldness process before final-vellus stage miniaturization is reached. This, of course, is after androgen receptor transpcription.


Let me give you an example, we now know that barley B-3 proanthocyanidins seemingly offset the effect of TGF-beta one on follicles in culture based on Japanese experiments. http://www.ncbi.nlm.nih.gov/entrez/quer ... query_hl=7 There is the pubmed on that if you want to take a look.

I understand that the apple B2 proanthcyandins supposedly interact very positively with protien kinase C enzymes in culture. Info is here:
"Procyanidin B-2, extracted from apples, promotes hair growth: a laboratory study, Br J Dermatol. 2002 Jan;146(1):41-51

In this study, the researchers concluded that procyanidin B-2 acts to diminish protein kinase C isozymes, which play an important role in the hair growth cycle.

Procyanidin B-2 seems to promote hair growth by downregulating PKC in both the anagen (active growth phase) and telogen (resting phase) of the hair follicle. When the anagen phase is prolonged, and the telogen phase is shortened, increased hair growth results."




You know man.........................some of those old middle age remedies like barley, hops, apple cider vinegar, and pine oil (largest source of beta sistosterol in nature) and rosemary (lots of estrogen mimicking chemicals supposedly therein) and lemongrass, thyme, etc (anti-inflammatories and diuretics topically) seemingly have more than just a bit-of grains of truth to them. I used to automatically write them off, but now I wonder what exactly in them might really counteract topically the AFTER-effects after androgenic transcription.

Unitl we have a tried-and-true-tested-24hour receptor blocker or mimicker of estrogen topically that could stop androgenic transcription..............................we would seemingly need to find ways of counteracting whats downstream in the baldness process.


In macques, immunology isnt a factor according to Uno, and they go bald based on androgens alone. Im pretty sure that this is still a factor in us as well as immunology.



On senescent type-thinning. Old women, with no male horome, often keep their damn hair past 100 years of age. I see no reason why we couldnt to if we could block the recptors or have something mimick hormones to be uptaken by receptor sites but not activate the DNA. You add a stimulant to a great receptor blocker and I think one would keep the hair they had for as long as they lived under normal circumstances.
 

arya

Established Member
Reaction score
2
If Testosterone is also responsible for the death of hair follicles, then taking propecia should increase the hair lose. Shouldn’t it? But this not really the case. So what is the conclusion here?
 

docj077

Senior Member
Reaction score
1
I agree Michael. Trying to find herbs or waiting for drugs that directly inhibit the process after transcription is probably the best way to go. I just don't think that using propecia or avodart alone is going to work for a lot of people.

Lately, we've been seeing a lot evidence that testosterone can eventually have the same effects as DHT on the hair follicle as they use the same receptor and have the same second messenger system.

Personally, I think that if you're going to use either of those drugs, then you need to either have a topical that inhibits the receptor and not just the enzyme, as well, or you need to have an internal that inhibits either the downstream effects (TGF-beta inhibitor, PKC inhibitor, etc.) or you need to have an internal that will bind testerone or increase the production of SHBG.

I think this is the answer to the problems that people have where they don't get regrowth at all or minimal vellus growth.

Perhaps, you agree. Perhaps, you don't. It's just been on my mind a lot lately.

I can not see a 5 alpha reductase inhibitor stopping the process or even totally inhibiting it unless that particular person is born with an androgen receptor that has the fewest triplet repeats. For some reason, people with a smaller gene defect have fewer downstream effects and thus their hair loss responds to treatment better.

My guess is that fewer repeats means that DHT is the hormone with a higher affinity for the receptor, so finasteride. or dutasteride. will work better as testosterone must have a lower affinity. Apparently, as more triplet repeats accumulate, both DHT and testosterone increase their affinity for the receptor, so both of them can activate the cascade leading to hair loss, so using a 5AR inhibitor is merely fighting half the battle.

That last paragraph is just my thoughts and opinions, but it has been haunting me for a while.
 

docj077

Senior Member
Reaction score
1
Yeah, I'm going to change my opinion about the triplet repeat thing I said earlier. Watching Family Guy has inspired me somehow.

The few the number of triplet repeats in the receptor, the better it's able to change its confirmation when DHT or testosterone binds as the protein product will be more effective. This means that a 5AR inhibitor that prevents DHT synthesis and binding will cause a greater effect downstream as the androgen-receptor complex will be less likely to transcribe TGF-beta as fewer androgen-receptor complexes will be available to bind to the gene. With people who have worse symptoms due to the downstream effects, the drugs will prevent them and thus they will have better outcomes.

The greater the number of triplet repeats, the less likely the receptor will change its conformation correctly when binding androgen and the less likely it will activate the TGF-beta gene. Now, this would seem counter-intuitive to what I said about having few repeats and you'd think this would have an even greater effect. However, for a reason I can not explain, the receptor with the greater mutation causes the same downstream effects whether it's inhibited or not. My guess is that even in the presence of a 5AR inhibitor, this receptor is somewhat active due to the mutation. How? I don't know.

I don't know why that came to me while watching Family Guy, but it did.

Again, this is just my opinion and I'm open to the thoughts of others.
 

CCS

Senior Member
Reaction score
27
and Avodart more than doubles testosterone levels in the scalp, according to some studies at least. I wonder if hairs in the front have an equal affinity to both. I can't find the study I stumbled on before, because google does not search the web, but a small cache of pages. But I did see a study that showed avodart to be weaker in front with increasing doses, and stronger in back. I'm still going to see if I respond well to avodart, but I'm definitely going to use a strong AR blocker on the front.

And I'm going to start eating lots of tumeric powder again, and maybe start taking some internal apple poly and other stuff.
 

docj077

Senior Member
Reaction score
1
Let me know how using Turmeric goes for you CCS. It isn't very well absorbed by the intestines, but it must have some effect as I definitely feel different since I've been taking it. Is it a placebo effect? I don't think so, because it's ability to assist my immune system is obvious.
 
Top